It is one in the morning and things are simply not going right. You are awoken unexpectantly by a sudden pain and it is choking you. The explosion of red hot pain feels like lava in your throat and you are coughing constantly. This is what it feels like for many who have acid reflux. It is not only a painful and terrible experience but has many other awful side effects. It can take a person who has had amazing dental hygiene and throw it all out the window. It can cause havoc on your dental health and be a very expensive issue. So this problem happens to so many people and I want to go over some things that may help those who are just finding out they have this issue.
The first thing to know is that your body and stomach produce natural acids. These are used for digesting foods and a myriad of other things that are good and healthy. Acid reflux is when these natural acids travel up the throat and get into your mouth. This is when those acids begin to break down the good things in our mouth. This can start to even cause erosion of your teeth. Now the big problem is when this happens more often than not. If you have acid reflux then this is more than a common occurrence and constantly attacks your mouth. This is a dental catastrophe and is rather unfortunate. So let’s get into the specifics of what this can do for your teeth.

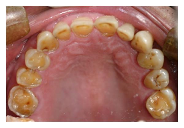
The main thing that acid reflux does is to wear away the enamel of your teeth. This is something that can easily be noticed by a compliant dentist and is a big reason to go and see your dentist regularly. But tooth erosion is permanent and is something that simply does not come back. This is pretty easy to discover and can feel like it is actually a problem with other things as well. But if your teeth are very sensitive then it could be a problem. One area that they could be sensitive or it could feel pain is when you are drinking hot or cold liquids. That can really show on the pain levels when your teeth are suffering from erosion.

Another common sign of tooth erosion from acid reflux can be the yellowing of teeth. This is another sign that acids from your stomach are wearing away the enamel and slowly causing massive dental issues. If you are noticing a significant amount of yellowing around all of your teeth it could be an acid reflux issue as well. So what are some things you can do to help prevent these issues?

First producing more saliva to help clean your teeth is a great idea. This can be done in many ways. Drinking more fluids and staying hydrated is a great start. Keeping a bottle of water around is a good way to do this. Also chewing sugar free gum is another way to keep your saliva flow working at a higher level. There are also a number of over the counter products that can help to reduce the acid issues. This is a great way to help stop a problem before it starts. Either way, see your healthcare provider to make sure you are properly taking care of the issue to maintain the best oral care.





